PhysioGuessr
Your Name:
Create Multiplayer Room
Join Multiplayer Room
Single Player
Question Creator
Create Room
Round Timer (seconds):
Room Code:
Start Game
Players in Lobby:
Join Room
Join
Room not found
PhysioGuessr
Player:
Round:
1
/ 5
Time:
30
s
Score:
0
Symptoms:
Loading...
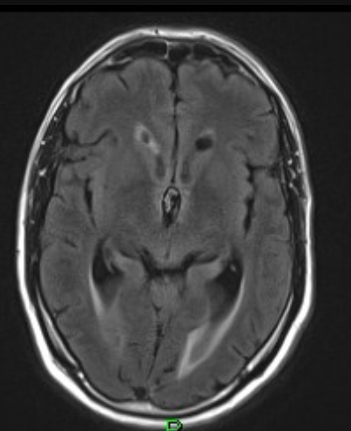
Slice:
1
/
26
Submit Guess
End Game
Scroll to navigate through brain slices
Round
1
Results
Score
0
points
Distance:
0.000
Correct Location:
Correct
Your guess
Opponents
Leaderboard
Game Over!
Final Score:
0
Start New Game
Question Coordinate Picker
Slice:
13
/ 26
Coordinates:
x:
y:
slice:
Copy Coordinates
✓ Copied!
Close